Đồng thời, ông nghĩ hóa trị làm tiêu diệt tế bào, chỉ khiến sức khỏe suy kiệt. Ông M. về nhà điều trị ung thư theo dân gian, uống thuốc nam hỏi thăm từ người quen suốt 6 tháng, kết hợp kiêng ăn thịt gà, thịt bò… Mỗi bữa sáng, trưa, chiều, ông sắc thuốc với 3 chén nước nấu còn 1 chén để uống. Tuy nhiên, tình trạng táo bón ngày càng nặng hơn, ông sụt 15 kg, không ăn uống được; đau bụng lúc dữ dội, khi âm ỉ. Ông đi tiêu khó khăn trong vòng một tháng, bụng căng chướng, sức khỏe suy giảm rõ rệt.
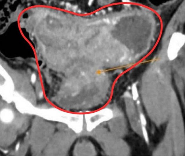
Gia đình đưa ông M. trở lại Bệnh viện đa khoa Tâm Anh TP.HCM khám. Kết quả chụp CT bụng ghi nhận khối u ác tính gây hẹp hoàn toàn lòng ruột gây giãn ứ phân, xâm lấn gây dày thành bàng quang. Đặc biệt gan có hai tổn thương do u đại tràng di căn đến.
Ngày 10.12, bác sĩ chuyên khoa 2 Nguyễn Trần Anh Thư (Khoa Ung Bướu, Bệnh viện đa khoa Tâm Anh TP.HCM) cho biết trong lần thăm khám trở lại, ông M. được chẩn đoán bị ung thư đại tràng sigma (đoạn ruột cuối cùng, có hình chữ S trước khi nối với trực tràng) giai đoạn 4, xâm lấn bàng quang, di căn gan.
Bệnh nhân được phẫu thuật nội soi làm hậu môn nhân tạo, đưa phân ra ngoài. Bác sĩ cho ông M. dùng thuốc trúng đích kết hợp hóa trị theo phác đồ FOLFOX (phối hợp 3 loại thuốc).
"Nếu điều trị ngay ở giai đoạn trước đó, ông M. chỉ cần phẫu thuật, có thể hóa trị hỗ trợ thêm với liều phù hợp là ổn định sức khỏe", bác sĩ Anh Thư cho biết.
Quá trình điều trị cho ông M. gặp nhiều khó khăn do sức khỏe suy kiệt, sức đề kháng kém. Trước điều trị, ông M. bị nhiễm trùng tiểu do vi khuẩn E.coli, gây nhiễm trùng huyết, phải điều trị với kháng sinh 10 ngày. Sau thời gian điều trị kháng sinh, kết quả cấy máu âm tính với vi khuẩn, ông được đặt buồng tiêm dưới da để chuẩn bị hóa trị.
Sau chu kỳ đầu tiên, ông M. bị nhiễm trùng tiểu tái phát, được khám với bác sĩ Khoa Nội thận, tiếp tục sử dụng thuốc kháng sinh. Khi tình trạng nhiễm trùng ổn định, bệnh nhân tiếp tục hóa trị chu kỳ 2, 3, 4. Ông M. ăn uống đầy đủ dinh dưỡng, không kiêng khem như trước, uống 2 lít nước mỗi ngày.
Sau 3 tháng hóa trị, kết quả chụp CT thấy khối u giảm kích thước. Hiện ông M. khỏe, ăn uống được, không đau bụng, hậu môn nhân tạo hoạt động tốt, hậu môn thật không chảy máu.
"Tôi hối hận khi không điều trị ung thư theo tư vấn ban đầu của bác sĩ", ông M. chia sẻ.

Khối u ác tính gây hẹp hoàn toàn lòng ruột gây giãn ứ phân, xâm lấn gây dày thành bàng quang
ẢNH: T.A
Thuốc nam có thể dùng kết hợp nhưng không thay thế các phương pháp điều trị ung thư
Bác sĩ Anh Thư cho biết, các loại thuốc nam có thể được dùng kết hợp với hóa trị, xạ trị để ổn định tinh thần, cải thiện triệu chứng, nâng đỡ tổng trạng, giảm ảnh hưởng của tác dụng phụ… Tuy nhiên khi sử dụng thuốc, người bệnh nên tham khảo ý kiến bác sĩ điều trị; đồng thời có thể kết hợp thuốc theo đơn của bác sĩ y học cổ truyền tư vấn.
Bệnh ung thư được điều trị đa mô thức (phối hợp nhiều phương pháp) như phẫu thuật, hóa trị, xạ trị, thuốc miễn dịch… vừa kiểm soát tại chỗ vừa khống chế di căn xa, giảm tối đa biến chứng và nâng cao hiệu quả điều trị. Phẫu thuật không làm tế bào ác tính lan khắp cơ thể. Các chẩn đoán hình ảnh hiện đại như siêu âm, CT, MRI… hỗ trợ bác sĩ chẩn đoán chính xác giai đoạn bệnh trước mổ, nhờ đó giúp phẫu thuật chính xác, nâng cao hiệu quả điều trị.

Các loại thuốc nam có thể được dùng kết hợp với hóa trị, xạ trị nhưng cần ý kiến bác sĩ và không thay thế phương pháp điều trị
ẢNH MINH HỌA: AI
Hóa trị là đưa thuốc hóa chất vào cơ thể để tiêu diệt và ngăn chặn tế bào ung thư phát triển. Thuốc ảnh hưởng đến cả tế bào ác tính và tế bào lành tính nên có thể gây tác dụng phụ như mệt mỏi, suy nhược cơ thể, buồn nôn, rụng tóc, mất vị giác, thiếu máu, xuất huyết… Tuy nhiên, các triệu chứng này hoàn toàn có thể được kiểm soát bởi các loại thuốc hỗ trợ triệu chứng và giảm bớt các tác dụng phụ.
Bác sĩ Anh Thư khuyên người bệnh ung thư nên điều trị theo chỉ định của bác sĩ. Không tự ý dùng các loại lá cây, thuốc dân gian làm mất cơ hội chữa khỏi ở giai đoạn sớm. Khi bệnh tiến triển nặng, quá trình điều trị phức tạp, tốn kém, ảnh hưởng đến tâm lý, chất lượng cuộc sống.