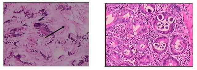
Qua nội soi, bác sĩ phát hiện vùng hang vị dạ dày bị loét và nhiễm cứng, hình ảnh rất giống với ung thư dạ dày. Bác sĩ Huỳnh Vĩnh An, Bệnh viện Nhân dân 115 cho biết, kết quả bất ngờ nằm ở mẫu mô sau khi phẫu thuật. Khi soi dưới kính hiển vi, các bác sĩ đã phát hiện ra "thủ phạm" thực sự là giun lươn đang ký sinh trong niêm mạc ruột non, hoàn toàn không có tế bào ung thư như nghi ngờ ban đầu.
Theo bác sĩ Vĩnh An, giun lươn là loại giun tròn có khả năng tự nhân lên ngay trong cơ thể người (cơ chế tự nhiễm). Loại giun này có thể sống âm thầm trong cơ thể hàng chục năm mà không gây triệu chứng rõ rệt. Tuy nhiên, nếu người bệnh bị suy giảm miễn dịch hoặc tự ý dùng thuốc chứa corticoid (một loại kháng viêm rất phổ biến), giun lươn có thể bùng phát mạnh mẽ, gây nhiễm trùng huyết, tổn thương phổi và dẫn đến tử vong. Chúng thường xuyên qua da khi chúng ta đi chân đất, theo máu đến phổi, lên khí quản và cuối cùng được nuốt xuống "định cư" tại ruột non.

Hình ảnh giun lươn (mũi tên) trong ruột non và hình ảnh viêm loét dạ dày
ẢNH: BVCC
Không chủ quan khi có triệu chứng đau thượng vị kéo dài trên 2 tuần
Tiến sĩ - bác sĩ Nguyễn Vũ Thiện, Khoa Giải phẫu bệnh, Bệnh viện Nhân dân 115, cho biết giải phẫu bệnh đóng vai trò như một "trọng tài" cuối cùng giúp xác định bản chất thật sự của tổn thương. Việc quan sát tỉ mỉ từng mẫu mô giúp bác sĩ không bỏ sót những nguyên nhân hiếm gặp như ký sinh trùng, từ đó giúp người bệnh được điều trị đúng thuốc, tránh những cuộc đại phẫu không đáng có hoặc bỏ lỡ cơ hội điều trị kịp thời.
Để bảo vệ sức khỏe, người dân cần lưu ý:
Không chủ quan: Khi có triệu chứng đau thượng vị kéo dài trên 2 tuần, sụt cân không rõ nguyên nhân, hoặc rối loạn tiêu hóa kéo dài, cần đi khám ngay tại các cơ sở y tế uy tín.
Không tự ý dùng thuốc: Tuyệt đối không tự mua thuốc giảm đau, thuốc kháng viêm (đặc biệt là thuốc có chứa corticoid) vì có thể làm tình trạng nhiễm giun lươn trở nên nguy kịch.
Giữ gìn vệ sinh: Mang bảo hộ lao động, đi giày dép khi tiếp xúc với đất cát.
Tuân thủ điều trị: Khi đi khám, hãy mang theo đầy đủ các kết quả xét nghiệm, nội soi cũ để bác sĩ có cái nhìn toàn diện nhất.