Ngày 10.11, tin từ Bệnh viện đa khoa Trà Vinh cho biết, Khoa Ngoại thần Kinh của bệnh viện vừa phẫu thuật thành công cho bệnh nhân V.T.K (46 tuổi, ngụ Trà Vinh cũ) bị u màng não vùng thái dương đỉnh trái có kích thước khoảng 15x15 cm (nặng khoảng 600 gram).

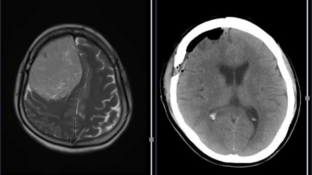
Hình ảnh MRI của bệnh nhân trước mổ (trái), CT sau mổ
Ảnh: Nam Long
Trước đó, bệnh nhân K. nhập viện với triệu chứng đau đầu dữ dội, nôn ói và yếu nửa người trái kéo dài khoảng 6 tháng. Hình ảnh chụp MRI cho thấy khối u chèn ép nhiều lên các cấu trúc não của bán cầu phải. Sau khi được hội chẩn chuyên khoa và chuẩn bị kỹ lưỡng, ngày 27.10, ê kíp phẫu thuật đã tiến hành mổ lấy trọn khối u. Sau mổ 4 giờ, bệnh nhân tỉnh táo, cử động tứ chi bình thường, hình ảnh CT kiểm tra cho thấy khối u đã được lấy hết hoàn toàn. Bệnh nhân hồi phục tốt và được xuất viện sau 5 ngày điều trị.

Khối u nặng khoảng 600 gram được lấy ra
Ảnh: Nam Long
Tiến sĩ - bác sĩ Lê Hoàng Nhã, Phó khoa Ngoại thần kinh, Bệnh viện đa khoa Trà Vinh khuyến cáo, người dân khi có triệu chứng đau đầu kéo dài, nôn ói, tê yếu tay chân hoặc thay đổi hành vi, thị lực, nên đi khám chuyên khoa sớm để phát hiện bệnh kịp thời.
Người dân không nên tự ý dùng thuốc giảm đau hoặc trì hoãn khám vì có thể che lấp triệu chứng và làm bệnh tiến triển nặng.
Việc chụp MRI não định kỳ ở người có triệu chứng nghi ngờ giúp phát hiện sớm các khối u não, đặc biệt là u màng não - bệnh lý có thể điều trị hiệu quả nếu được can thiệp sớm.