Thời gian gần đây, bà thường có cảm giác đau vùng thượng vị, cơn đau có biểu hiện như đau dạ dày thông thường, bà nghĩ là do rối loạn tiêu hóa. Cơn đau tiếp diễn thường xuyên ảnh hưởng đến việc ăn uống cũng như chất lượng cuộc sống của bà, nên người thân đã đưa bà đến Bệnh viện đa khoa Xuyên Á thăm khám.
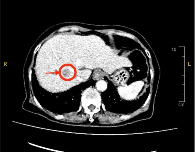
Ngày 9.11, thạc sĩ - bác sĩ chuyên khoa 2 Phan Văn Sơn, Khoa Ngoại tiêu hóa gan mật tụy, Bệnh viện đa khoa Xuyên Á cho biết, bệnh nhân được chỉ định siêu âm bụng và chụp MSCT thì phát hiện có khối u gan bên phải với kích thước khoảng 2 cm, nghĩ nhiều đến ung thư nguyên phát tế bào gan - một dạng ung thư gan phổ biến ở người có bệnh nền xơ gan, viêm gan B hoặc viêm gan C.
“Phẫu thuật cắt gan đối với khối ung thư nguyên phát tế bào gan là một trong những phương pháp điều trị triệt căn bệnh lý này. Tuy nhiên, đây là ca bệnh cần đánh giá kỹ lưỡng, vì bệnh nhân có nền xơ gan - yếu tố khiến việc phẫu thuật gan tiềm ẩn rủi ro cao", bác sĩ Sơn chia sẻ.
Sau hội chẩn, các bác sĩ đánh giá khối u còn trong giai đoạn có thể điều trị triệt căn, lựa chọn đốt khối u lại không khả thi do khối u nằm sâu trong nhu mô và sát mạch máu lớn nên việc cắt gan phải được đưa ra. Song song với việc phải đảm bảo thể tích gan trái còn lại đủ duy trì chức năng và đảm bảo rìa diện cắt triệt căn ung thư cũng như ngăn ngừa tái phát.

Hình ảnh CT khối u gan
ẢNH: BSCC
Ca phẫu thuật cắt gan phức tạp do khối u sát mạch máu lớn
Trong quá trình mổ, ê kíp đã thám sát và phát hiện khối u có kích thước chỉ khoảng 2 cm. Tuy nhiên, khối u không nằm trên bề mặt mà nằm sâu trong nhu mô gan, ở vị trí rất sát mạch máu lớn ở gan. Vì thế, các bác sĩ phải sử dụng siêu âm trong mổ để xác định chính xác vị trí khối u và khống chế tất cả các mạch máu lớn nuôi gan, tránh chảy máu ồ ạt.
Bác sĩ Sơn cho biết, phẫu thuật cắt gan phải là phẫu thuật lớn, đòi hỏi phải đánh giá tổng trạng bệnh nhân và thể tích gan trái còn đủ để duy trì chức năng cơ thể hay không. Vì gan phải chiếm khoảng 60 - 70% gan và gan trái chỉ chiếm 30 - 40%. Nếu phần gan trái còn lại không đủ sẽ dẫn tới suy gan sau mổ, đặc biệt là trên bệnh nhân có bệnh nền xơ gan sẵn và có thể dẫn đến tử vong.
Sau mổ, bệnh nhân hồi phục tốt, các chỉ số chức năng gan diễn tiến tốt. Người bệnh ăn uống bình thường vào ngày thứ 2 sau mổ và được xuất viện trong tình trạng khỏe mạnh.
Cần chủ động tầm soát ung thư gan định kỳ
Theo bác sĩ Sơn, trường hợp bệnh nhân A. là lời cảnh báo cho những người có bệnh nền xơ gan, viêm gan B hoặc C mạn tính, đừng bỏ qua những triệu chứng nhỏ như cơn đau vùng thượng vị, mệt mỏi, chán ăn... và cần chủ động tầm soát ung thư gan định kỳ để phát hiện sớm tổn thương. Nếu khối u không được phát hiện sớm, khi đã lớn hoặc xâm lấn mạch máu, việc điều trị triệt căn sẽ rất khó khăn, tiên lượng xấu.